Industry-leading digital dental lab
Leverage the latest digital manufacturing technologies and get real-time communication at every stage of your case journey
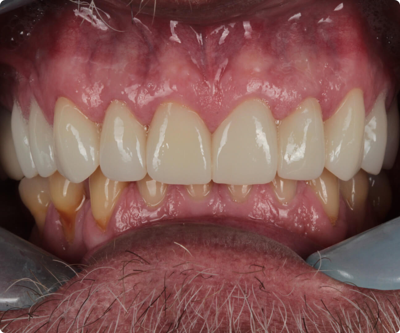
Bridges & Crowns
Bridges & Crowns
Bridges & Crowns
Bridges & Crowns
Bridges & Crowns
Bridges & Crowns
Bridges & Crowns
